Clasificación por tipos del linfoma no Hodgkin
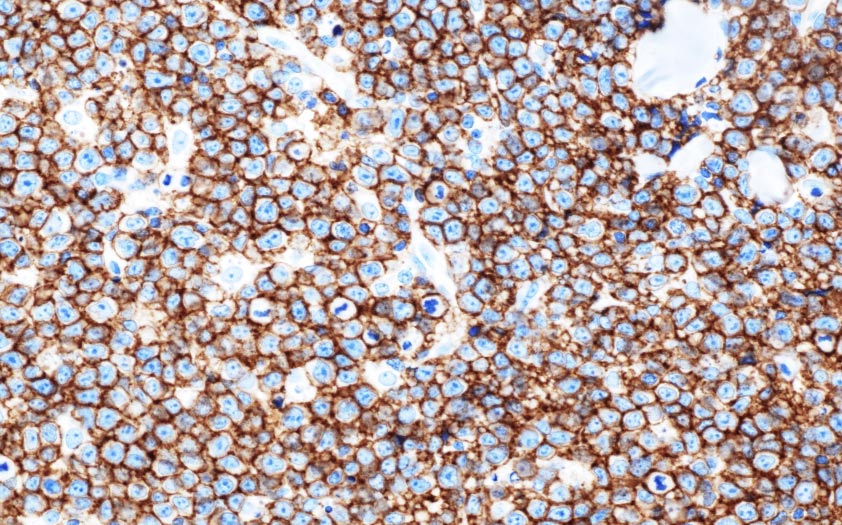
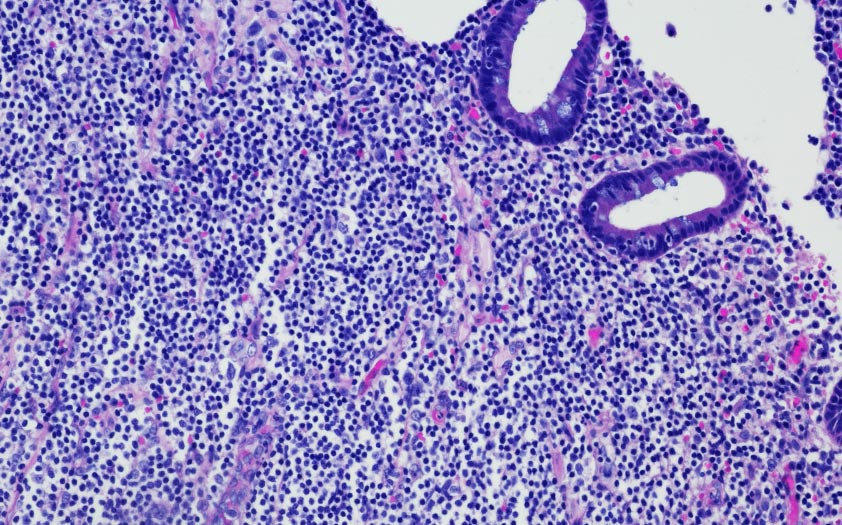
La clasificación de la Organización Mundial de la Salud (OMS) identifica más de 30 subtipos específicos de linfoma no Hodgkin basándose en la morfología y las características moleculares (inmunofenotipo y citogenética) de las células malignas. La distinción entre los distintos subtipos de linfoma no Hodgkin es esencial ya que determina el tratamiento específico que el paciente va a recibir. De forma global, los linfoma no Hodgkin se pueden clasificar dependiendo de la evolución de la enfermedad y la rapidez con la que se desarrolla:

Linfomas no Hodgkin agresivos
Los linfomas agresivos representan aproximadamente el 60% de todos los linfoma no Hodgkin, y se denominan así porque las células presentan una gran capacidad de multiplicarse rápidamente (linfomas de evolución rápida). Por este motivo, suelen manifestarse de forma repentina (adenopatías indoloras o manifestaciones en distintos órganos derivadas de la localización concreta del linfoma así como síntomas B), y progresan frecuentemente de forma muy rápida. Esta evolución suele requerir también un inicio rápido del tratamiento.
Este crecimiento rápido de las células hace que estos linfoma no Hodgkin responden muy bien a las terapias, que habitualmente son más eficaces sobre células de crecimiento rápido, dando lugar a una rápida mejoría clínica. Por esto, los pacientes suelen mejorar de sus síntomas rápidamente y el volumen de la afectación linfática disminuye de forma importante (se hace muy evidente sobre todo en los casos de ganglios aumentados en zonas visibles y/o palpables).
El linfoma difuso de células B grandes (LDCBG) es el subtipo de linfoma no Hodgkin agresivo más común (representa casi el 50% de todos los linfoma no Hodgkin agresivos y el 30% de todos los linfoma no Hodgkin), con una edad mediana de aparición de 65 años.
De forma menos frecuente, dentro de los linfoma no Hodgkin agresivos encontramos también:
Linfoma de Burkitt
Progresión muy rápida, y en el que pueden distinguirse formas esporádicas que suponen en torno al 30% de todos los linfomas infantiles o bien formas asociadas a la infección por el virus del VIH).
Linfoma de alto grado
Con características moleculares diferenciales del LDCBG, baja frecuencia y curso agresivo, similar en ocasiones al linfoma de Burkitt.
Linfoma linfocítico/linfoblástico de células T
Supone en torno al 30% de los linfomas de niños y jóvenes, asociándose al desarrollo de la leucemia linfoblástica aguda.
Linfoma anaplásico de células grandes
Supone el 3% de todos los linfoma no Hodgkin del adulto y hasta el 20% de los linfomas infantiles.
Linfoma de células del manto
Representa el 10% de los linfoma no Hodgkin y es extremadamente raro en niños, teniendo un mal pronóstico debido a su extensión a distintas regiones del organismo).
Linfomas no Hodgkin indolentes
Los linfomas indolentes, representan cerca del 40% de todos los linfoma no Hodgkin y se conocen también como linfomas de bajo grado de malignidad ya que tienen un comportamiento menos agresivo.
Suelen tener un comportamiento clínico opuesto a los linfomas de tipo agresivo, ya que las células proliferan muy despacio. Por este motivo, normalmente se detectan de forma casual, al realizar pruebas o reconocimientos médicos por otros motivos, ya que no suelen existir adenopatías ni ningún otro síntoma sospechoso de enfermedad.
El comportamiento poco agresivo de estos linfomas hace que se mantengan estables y sin gran repercusión en la vida del paciente, incluso durante largos periodos de tiempo. Por este motivo, a veces no es necesario incluso tratarlos de inicio, sino solo realizar controles y seguimientos, siempre que el paciente tenga buena calidad de vida, hasta que se considere que es el momento adecuado de iniciar el tratamiento. Como contrapartida a este crecimiento lento y carácter crónico, en este tipo de linfoma es difícil alcanzar la curación.
Las células son menos sensibles a los tratamientos muchas veces, y el objetivo, a diferencia de los agresivos, no es curar (eliminando) la enfermedad, sino mantener una calidad de vida óptima en los pacientes. Asimismo, otra de las contrapartidas que añade el crecimiento lento es que el establecimiento de la enfermedad da menos síntomas (o tarda más tiempo en darlos) y por ello suelen encontrarse en fases avanzadas (más diseminados) en el momento de su detección, lo que puede comprometer el uso de tratamientos locales (que podrían, en ocasiones, curar la enfermedad en fases muy localizadas).
El linfoma folicular es el tipo más común de linfoma no Hodgkin de progresión lenta (70% de todos los linfomas de progresión lenta y hasta el 20-30% de todos los linfoma no Hodgkin), con una edad mediana de aparición de en torno a los 60 años. Algunos ejemplos de linfoma no Hodgkin indolentes serían:
- Linfoma de tejido linfoide asociado a las mucosas (linfoma MALT), principalmente la mucosa del tubo digestivo, asociándose a la infección por determinadas bacterias como Helicobacter pylori y que suele presentarse con dolor gástrico y abdominal
- Linfoma esplénico de la zona marginal (asociado a la infección crónica por el virus de la hepatitis C).
- Linfoma cutáneo de células T.
Este contenido ha sido revisado por la Dra. Sara Alonso Álvarez:
- Hematóloga clínica / Sección Citogenética Hematológica
- Servicio de Hematología y Laboratorio de Hematología (Área de Gestión Clínica del Laboratorio de Medicina)
- Hospital Universitario Central de Asturias