Linfoma de Hodgkin

¿Qué son los linfomas?

Los linfomas son un conjunto de enfermedades que afectan a los linfocitos, células de la sangre que son parte esencial de nuestro sistema de defensa, frente a las infecciones y también forman parte de la respuesta del cuerpo en otro tipo de enfermedades como el cáncer.

Aunque se alteran células de la sangre, los glóbulos blancos, necesitan madurar y activarse para poder desarrollar sus funciones inmunitarias en los órganos linfáticos (ganglios linfáticos, bazo, timo…).

Hay linfomas con diferentes características y evolución; y que se clasifican por tanto con distintos nombres.

¿Qué es el linfoma de Hodgkin?

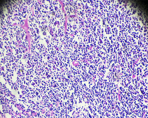
Los linfomas de Hodgkin constituyen uno de los 2 subgrupos principales de linfomas, de los que en España se diagnosticaron 1.193 nuevos casos en el año 2023, según las estimaciones del Observatorio del Cáncer de la Asociación Española Contra el Cáncer. Este tipo de linfoma se caracteriza por el hallazgo en los ganglios linfáticos de linfocitos de tipo B alterados que se conocen como células de Reed-Sternberg.

¿Existen factores de riesgo del linfoma de Hodgkin? 

No se han descubierto factores causales que se relacionen con este linfoma. Por esto, no es posible desarrollar medidas preventivas específicas.

Se sabe en base a diferentes estudios, que hay ciertas infecciones que pudieran favorecer la aparición de este tipo de procesos, como también el padecer algunas enfermedades que afectan al sistema inmune, pero no se han podido establecer relaciones concretas. Algo similar ocurre con los antecedentes familiares, pero no se puede considerar el linfoma de Hodgkin como una enfermedad de predisposición familiar.

¿Cómo se diagnostica el linfoma de Hodgkin? 

El diagnóstico es frecuente realizarlo tras estudiar en el laboratorio una biopsia de un ganglio sospechoso aumentado de tamaño (adenopatía). A veces es la única alteración o síntoma que se encuentra. Pero con frecuencia, el crecimiento del ganglio, suele ser producido por una infección. La consulta con el médico permitirá orientar el diagnóstico.

Síntomas del linfoma de Hodgkin 

Los especialistas deben preguntar a los pacientes por la existencia de síntomas que puedan sugerir la existencia de este tipo de enfermedad: fiebre, sudores nocturnos, o pérdida de peso. Otro tipo de molestias pueden presentarse e indicar que la enfermedad está fuera de los ganglios linfáticos.

Tras una serie de pruebas realizadas en el laboratorio, se identificarán los tipos específicos de linfoma de Hodgkin clásico (hay 4 subtipos en la clasificación habitual de los hematólogos) o se realizará el diagnóstico de linfoma de Hodgkin de predominio linfocítico nodular. Estos son las dos variedades principales, ambas diferentes en su tratamiento y evolución.

Es esencial también pedir a los pacientes una serie de pruebas (TAC, PET, punción de médula ósea, analíticas de sangre, etc.) para el estadiaje, que será lo que permita identificar la fase de extensión de la enfermedad.

Con todos los estudios precisos y teniendo en cuenta las características de la enfermedad, y las peculiaridades de cada persona, el equipo médico adecuará la pauta terapéutica, que puede variar según el grado de extensión de la enfermedad.

Tratamientos para el linfoma de Hodgkin 

Los tratamientos pueden ser diversos, y pautarse de forma combinada con frecuencia. La quimioterapia es lo más frecuente y en general con diferentes combinaciones de fármacos (poliquimioterapia). En algunos casos (habitualmente formas muy localizadas) la radioterapia puede ser el tratamiento principal. También puede darse en combinación con quimioterapia.

El tratamiento con inmunoterapia (o anticuerpos monoclonales) es también una propuesta de tratamiento para algunos tipos, en función de la evolución del linfoma y según la respuesta a terapias previas. Otra opción posible es el trasplante de células madre o progenitoras que puede ser utilizado sobre todo en algunos pacientes en segunda línea o refractarios a tratamientos previos.

En todos los casos, el tratamiento se debe individualizar teniendo en cuenta todas las características de la enfermedad y las de cada persona, y según el estudio realizado por el equipo de hematología, así se pautará la propuesta terapéutica más adecuada.

Mejorar el diagnóstico, tratamiento y pronóstico de los diversos linfomas de Hodgkin es esencial, y por ello hay que seguir investigando, para conseguir mejorar la supervivencia y la calidad de vida de las personas.

La información ofrecida en este sitio no sustituye a la consulta médica, sino que pretende ser un complemento o aclaración sobre lo relacionado con el linfoma de Hodgkin.

 

Actualización de los datos epidemiológicos en septiembre de 2024.