¿Qué es el mesotelioma?
Anatomía del mesotelio
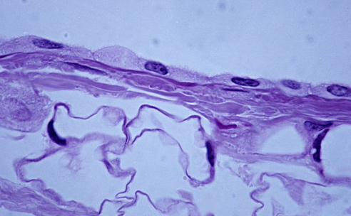
El mesotelio es una membrana celular que recubre diferentes cavidades y órganos del cuerpo humano. Esta membrana serosa es importante para la protección y el funcionamiento de los órganos internos. El mesotelio se compone de células planas y delgadas que forman una bolsa cerrada, lubricada que permite el deslizamiento de los órganos unos contra otros.

Las principales localizaciones del mesotelio son:
1. La pleura es una membrana serosa que recubre la cavidad torácica y los pulmones. Está constituida dos capas de células:
• Pleura parietal, una capa de células adherida a la pared interna de la cavidad torácica
• Pleura visceral, capa de células que cubre la superficie externa de los pulmones
• El líquido pleural entre las dos capas facilita el movimiento durante la respiración
2. Peritoneo es una membrana serosa que reviste la cavidad abdominal y engloba los órganos intraabdominales. Como la pleura también está constituida por dos capas.
• Peritoneo parietal, una capa de células adherida a la pared interna del abdomen
• Peritoneo visceral, capa de células que envuelve los órganos abdominales
• El líquido peritoneal presente entre las dos capas ayuda a reducir la fricción durante los movimientos gástricos e intestinales
3. Pericardio es una membrana serosa que rodea el corazón. Al igual que la pleura y el peritoneo, el pericardio tiene dos capas.
• Pericardio fibroso, capa externa más resistente
• Pericardio seroso, capa interna que se encuentra directamente sobre el músculo cardíaco.
4. Túnica vaginalis es el mesotelio que forma una capa que envuelve y protege los testículos.
¿Qué es el mesotelioma?
El mesotelioma es el cáncer que se origina en el mesotelio. Las células del mesotelio se dividen para reemplazar las células que envejecen y así mantener intacta la capa de recubrimiento. Cuando los mecanismos de control fallan, la célula inicia una división incontrolada, que con el tiempo dará lugar a un tumor. El crecimiento descontrolado de las células y la facultad de invadir tejidos vecinos es a lo que llamamos cáncer.
El mesotelioma generalmente crece loco-regionalmente y solo en estadios avanzados, el mesotelioma se disemina de tres maneras:
- Crecimiento local: el cáncer crece por invasión directa, infiltrando otras estructuras vecinas.
- Diseminación linfática: las células tumorales invaden la red de vasos linfáticos y llegan por el drenaje linfático a los ganglios.
- Diseminación hematógena: se realiza a través de los vasos sanguíneos.
Tipos de mesotelioma
Según su localización existen cuatro tipos de mesotelioma:
- Mesotelioma Pleural. Este es el tipo más común y afecta a la pleura. La principal causa de este tipo de tumor es la inhalación de amianto que puede favorecer la transformación de las células de la pleura a células tumorales. Los síntomas incluyen dificultad para respirar, dolor en el pecho y pérdida de peso. El mesotelioma pleural a menudo metastatiza en los ganglios linfáticos cercanos, el diafragma, la pared torácica e incluso el corazón. Las metástasis a órganos distantes, como el hígado, los riñones o el cerebro, son menos frecuentes, pero pueden ocurrir en estadios avanzados.
- Mesotelioma Peritoneal. Este tipo afecta al peritoneo, la membrana que engloba los órganos abdominales. La exposición al amianto también puede ser un factor, pero en la mayoría de los casos las causas pueden ser relacionadas con la radiación o la predisposición genética. Los síntomas incluyen dolor abdominal, hinchazón y cambios en el ritmo intestinal.
- Mesotelioma Pericárdico. Este tipo afecta al pericardio, el revestimiento del corazón. Es raro y generalmente se asocia con la exposición al amianto. Los síntomas incluyen dolor torácico, dificultad para respirar, palpitaciones y fatiga.
- Mesotelioma Testicular. Afecta a la túnica vaginal, el revestimiento de los testículos. Es extremadamente raro y los síntomas pueden incluir hinchazón o una masa en el área testicular.
En el mesotelioma pleural, que es el subtipo más frecuente, de cara al manejo es fundamental considerar el tipo de células donde se inicia el tumor, en función de lo cual podemos hablar de tres tipos:
- Mesotelioma Epitelioide:
• Descripción: Este subtipo representa la mayoría de los casos de mesotelioma (50-60%) y generalmente se asocia con un mejor pronóstico en comparación con otros subtipos. Las células cancerosas en el mesotelioma epitelioide son similares a las células epiteliales y forman estructuras glandulares.
• Características histológicas: Células uniformes, organización en patrones tubulares o glandulares, mejor respuesta al tratamiento de quimioterapia.
• Pronóstico: Relativamente más favorable en comparación con otros subtipos.
- Mesotelioma Sarcomatoide:
• Descripción: Este subtipo es menos común (10%). Las células cancerosas en el mesotelioma sarcomatoide tienen características similares a las de células del tejido conectivo.
• Características histológicas: Las células son alargadas y fusiformes, y forman un patrón desorganizado.
• Pronóstico: Responde poco a los tratamientos convencionales incluyendo la quimioterapia y por lo tanto tiene un pronóstico menos favorable, aunque es el subtipo donde la inmunoterapia tiene un mayor beneficio, mejorando los resultados respecto a la quimioterapia.
- Mesotelioma Bifásico o mixto:
• Descripción: presenta características de los dos subtipos anteriores, y representa el 30-40% de los mesoteliomas pleurales.
• Características Histológicas: constituido por células de tipo epitelial y células de tipo sarcomatoide.
• Pronóstico: varía en función de la proporción de células de un tipo o de otro; cuantas más células de tipo epitelial estén presentes, mejor pronóstico; y cuantas más células de tipo sarcomatoide, peor pronóstico. En este subtipo, también está indicada la inmunoterapia.
Distinguir entre los diferentes subtipos histológicos es importante para el diagnóstico y decidir el tratamiento más adecuado. La biopsia y posterior análisis de anatomía patológica ayudaran a determinar el tipo de células presentes en el mesotelioma de un paciente. La información sobre el estudio histológico puede influir en las decisiones de tratamiento y determinar de forma más precisa el pronóstico del paciente. Además de los tratamientos convencionales, hoy existen nuevos tratamientos de inmunoterapia que están ayudando a obtener mejores resultados en los tratamientos del mesotelioma.
El mesotelioma en cifras
El mesotelioma es una enfermedad rara y agresiva que tiene una clara relación causal con la exposición previa al amianto. Según el Global Cancer Observatory (GLOBOCAN), en el año 2020 se diagnosticaron 30.870 casos de mesotelioma en todo el mundo, con una incidencia estimada de 0,30 por 100.000 personas.
En España, se diagnosticaron 617 casos en 2023, siendo el cáncer número 29 en incidencia. Afecta más frecuentemente a hombres a partir de los 60-70 años, debido al largo periodo de latencia (20-50 años) desde la exposición al asbesto y el desarrollo de la enfermedad.
La prevalencia del mesotelioma esta influenciada por la cantidad de exposición histórica al amianto en una población. La enfermedad es más prevalente en áreas de uso del amianto en la industria y más alta en las poblaciones que han experimentado una exposición ocupacional intensiva en presencia de amianto.
Por tanto, los países con historial significativo de producción y uso de amianto, como Estados Unidos, Reino Unido, Australia y algunos países del norte de Europa, han experimentado tasas más altas de incidencia.
Aunque en España la incidencia de mesotelioma es baja en comparación con otros países europeos (un tercio menor que la de Francia o Italia, y la mitad que la del Reino Unido), la enfermedad conlleva una elevada morbilidad y mortalidad. En España se prohibió el uso de amianto forma definitiva en 2020 por lo que se espera todavía un incremento de los casos hasta el año 2030.
Actualmente se estima que algunos países en vías de desarrollo como Brasil e Indonesia (donde existen casos no reportados) o bien países con una regulación más laxa como Rusia y China, (que a son los consumidores del 80% del consumo mundial de amianto), tendrán un elevado número de casos en los próximos años. (Fuente: SEOM).
La mortalidad asociada con el mesotelioma es alta.
En los últimos años, se han producido avances en el tratamiento del mesotelioma, fundamentalmente en el campo de la inmunoterapia, que están abriendo nuevas perspectivas y mejorando los resultados de supervivencia en los pacientes con mesotelioma.
La implementación de regulaciones efectivas, la concienciación política y publica junto con los avances científicos son importantes para reducir la futura incidencia, mejorar las tasas de supervivencia y proporcionar un mejor apoyo a los afectados por el mesotelioma.
Este contenido ha sido revisado en febrero de 2024 por Miguel García Pardo, MD. Unidad de Tumores Torácicos, Servicio de Oncología Médica. Hospital Universitario Ramón y Cajal, Madrid.